116
Ces Urol 2016; 20(2): 113–122
PŘEHLEDOVÝ ČLÁNEK
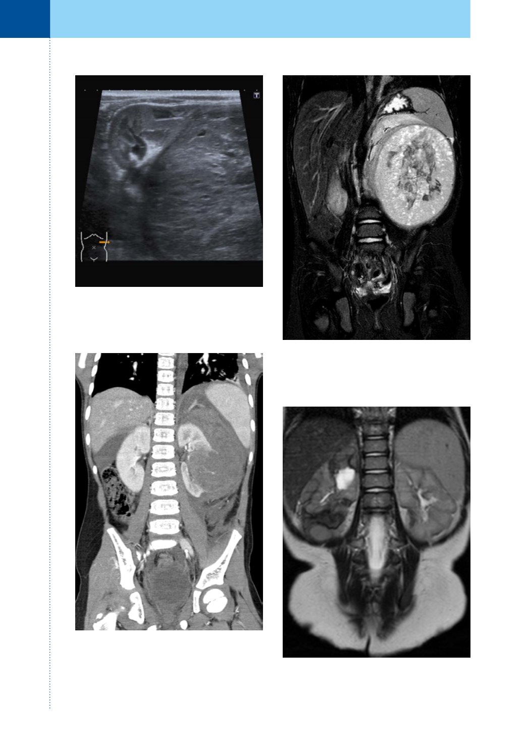
Obr. 2.
Ultrazvuk; nefroblastomdolního pólu ledviny
vlevo
Fig. 2.
Ultrasound; nephroblastoma of left kidney
(Wilms‘ tumor)
Obr. 3A.
CT koronálně rekonstrukce; ruptura
nefroblastomu ledviny vlevo
Fig. 3A.
CT scan coronal reconstruction; rupture of
left kidney nephroblastoma
Obr. 3B.
MR koronálně, STIR; nefroblastom levé
ledviny
Fig. 3B.
MR scan STIR; nephroblastoma of left kidney
Obr. 3C.
MR koronálně, T2 TSE; nefroblastomatóza
Fig. 3C.
MR scan, T2 TSE; nephroblastomatosis




